矯正歯科治療について
大人になってからでも、歯や歯ぐきが健康であれば矯正治療は可能です。歯並びや噛み合わせなど口元で気になる点があれば、そのタイミングがベストな開始時期です。最近では、40代・50代の方々も積極的に矯正治療を受けている方もいます。
矯正治療は、子どもが受ける治療と思われていますが、成人の場合でも歯が整うことで歯磨きがしやすくなり、口腔内トラブルの予防にも効果的です。
美しい歯並びに整うことで、魅力的な笑顔を手に入れることができ、自信を持てるようになります。
当院では無料矯正相談も受け付けております。(※別途初診料がかかります)
歯並びや噛み合わせでお悩みの方は、四日市市の日永しばた歯科までお気軽にご相談ください。
当院の矯正歯科の特徴
Eラインに沿った美しい口元を目指します

成人矯正の場合、患者様の希望に重点を置いて治療を進めます。鼻と顎を結ぶEライン(エステティックライン)に沿って口元を調整し、美しく上品な口元を目指しています。成人矯正の特徴として、すでに顎の成長が止まっているため、抜歯が必要な場合があります。
抜歯を行わずに矯正を進めた場合、理想的な口元を実現できない可能性もあるため、患者様のご希望を踏まえ、カウンセリングを通じて希望に沿った矯正治療を提案しています。
人前でも気にならない目立たない矯正装置

当院では、患者様のお口の状態やご希望に応じて、透明や白いブラケットやマウスピース型装置など目立ちにくい矯正装置をご用意しております。目立ちにくい矯正装置を使用することで、周囲の目を気にすることなく、お仕事や学校生活においても影響を最小限に抑えた矯正治療が可能となりました。
口腔内3Dスキャナー(iTero)の使用

当院では、口腔内3Dスキャナー(iTero)を用いた矯正治療をおこなっております。この装置は、小さなヘッドを歯列に当てるだけで歯型を迅速に取得できます。歯型を取る時間はわずか2~3分ほどで、従来の粘土のような印象材を使用した場合の独特な感触もなく、嘔吐反射が強い方でも苦痛を感じることなく歯型取りが可能です。
iTeroのスキャニング技術は高精度で、より詳細な情報を得ることができます。得られた歯型のデータは即座に送信され、マウスピース矯正(インビザライン)の制作を迅速に始めることができます。
総合歯科医院だからできる治療

矯正専門歯科医院では、歯列の状態に応じて他の歯科治療が必要な場合や、むし歯が発生した場合には他の歯科医院で治療を受けることがあります。しかし、当院ではむし歯や歯周病など一般的な歯科治療から抜歯などの外科治療まで幅広く対応しています。これにより、患者様の口腔内の状態をトータルでケアすることが可能です。
当院では矯正治療においてだけでなく、様々な治療にも経験豊富です。そのため、患者様の状態を総合的に考慮し、最適な治療計画を立てています。
大人の矯正歯科のメリット・デメリット
メリット
口元のコンプレックスを解消できる
歯並びが気になると、外見に対する自信がなくなることがあります。矯正治療を受けることで歯並びが整い、口元のコンプレックスが解消されます。これにより、口を隠すことなく笑顔に自信を持てるようになり、見た目の印象や自己肯定感が向上します。
むし歯や歯周病を予防しやすい
歯と歯が重なって生えている不正咬合は、歯ブラシが細かい隙間に届きにくく、むし歯や歯周病のリスクが高まります。一方、矯正治療により整った歯並びは歯磨きがスムーズで、歯の表面や隙間を効果的に清掃できるため、むし歯や歯周病の予防に効果的です。
顎関節や体の不調を改善・予防できる
噛み合わせが悪い状態を放置すると、顎関節症になりやすいだけでなく、全身のバランスが崩れて肩こり、腰痛、頭痛などが引き起こされる可能性があります。矯正治療を受けることで噛み合わせが整い、顎関節や全身の不調の改善や予防が期待できます。
デメリット
抜歯が必要となる可能性がある
顎の成長が完了しているため、子どものように顎の成長を促進させることは難しいです。このため、歯並びを整えるために必要な顎のスペースが不足している場合、抜歯が必要となることが一般的です。抜歯を行うことで歯列を整え、理想的な噛み合わせや美しい口元を実現することが可能です。
固定式の矯正装置は歯磨きしにくい
固定するタイプの矯正装置は、矯正装置の周囲に汚れが溜まりやすく、すみずみまで歯磨きすることが容易ではありません。歯科衛生士の指導で得た知識や技術をもとに、毎日丁寧に歯磨きを行うことが重要です。歯ブラシや歯間ブラシ、デンタルフロスなどを適切に使い、磨き残しのないように心がけましょう。
歯根が短くなる場合がある
矯正装置を使用して歯を移動させる際、歯に過剰な負荷がかかることで歯根が短くなる可能性があります。一般的に、歯根がわずかに短くなったとしても、その影響で歯がすぐに抜けるような心配はほとんどありません。ただし、歯周病にかからないように十分な注意が必要です。
歯並びの種類
当院で治療できる歯並びです。
上顎前突(出っ歯)

上の前歯が傾いたり、上顎そのものが前に出ている状態です。下顎の成長不足が原因である場合、下顎の成長を促す治療が行われます。
下顎前突(受け口)
下の前歯が上の前歯よりも前に出ている状態です。放置すると下顎前突に進行し、外科治療が必要になるケースがあります。
空隙歯列(すきっ歯)
下の前歯が上の前歯よりも前に出ている状態です。放置すると下顎前突に進行し、外科治療が必要になるケースがあります。
叢生(八重歯・乱杭歯)
歯が重なって生えていたり、デコボコに生えていたりする状態です。歯ブラシが届きづらくなり、むし歯や歯周病のリスクが高まります。
開咬
奥歯を噛み合わせたときに前歯の間に空間ができる状態です。前歯のすき間から空気が漏れて発音が悪くなる場合もあります。奥歯に負担がかかり早期に奥歯を失うリスクがあるため、早めの治療が必要です。
過蓋咬合
上の歯列が下の歯列に大きく被さっている状態で、口内炎や歯のすり減りなどの問題が起こりやすくなります。成長期から治療を行うことで、将来的にトラブルが起きるリスクを軽減できます。
当院の矯正歯科治療
マウスピース矯正(インビザライン)
インビザラインは、取り外し可能で透明なマウスピース型の装置を使用した治療法です。この特長により、人目を気にせず治療を受けることができます。また、装置の厚みが薄く、歯並びを少しずつ動かしていくため、装着中の違和感が少なく、発音にもほとんど影響しません。
患者様自身で取り外しができるため、今まで通り食事をとることができ、歯みがきもいつも通り行うことが可能です。見た目を気にされていて矯正治療に踏み出せなかった方は、ぜひ一度ご相談ください。
マウスピース矯正のメリット
矯正していることが周囲にバレない
マウスピース装置は透明で、見た目が固定式のワイヤー矯正よりも自然です。これにより、矯正治療を受けていることが他人に気づかれにくいです。
ワイヤー矯正に比べて痛みが少ない
マウスピースは事前に歯が動く範囲が決まっているため、治療中の痛みが少ないとされています。ワイヤー矯正では力の入れ具合によって痛みが変動することがありますが、マウスピース矯正はそのようなことがありません。
取り外せるため食事や歯みがきが今まで通りできる
マウスピースは取り外せるため、普段通りに食事を楽しむことができ、ワイヤー矯正装置のように食事の制限もありません。また、歯みがきなどの口腔ケアもいつも通りに行うことができるため口内の清潔を維持しやすいです。
通院回数が少ない
マウスピース矯正では、食事時に装置を外せるためトラブルが少なく、通院回数がワイヤー矯正よりも少なく済むため、頻繁に通院することが難しい方にもおすすめです。
金属アレルギーでも使用可能
マウスピースは金属を使用しないため、金属アレルギーがある方でも安心して使用できます。
ワイヤー矯正
ワイヤー矯正は、歯にブラケット(装置)を取り付け、それをワイヤーで結びつけて歯を引っ張って移動させる歴史ある矯正治療方法です。ブラケットは歯の表面に取り付け、ワイヤーはブラケットに通し、歯にかかる圧力を調整することで歯の位置を調整します。定期的に調整し、歯の動きを徐々に整えていきます。白や透明の目立ちにくい色のブラケットやワイヤーもご用意しております。
症例 上顎前突

before

after
| 来院時の主訴 | 上の前歯の出っ歯 |
| 医院の治療選択 | ブラケット矯正 |
| 来院期間 | 2年11ヶ月 |
| 治療費用総額 | ¥650,000(税込¥715,000) 毎月調整料¥4,000(税込¥4,400) |
| リスクと副作用 | 歯肉退縮・歯根吸収・歯髄・壊死・癒着による予期せぬ歯の動き |
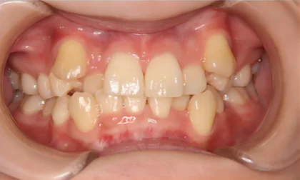
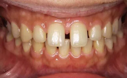
症例 叢生

before

after
| 来院時の主訴 | 上下のガタガタ |
| 医院の治療選択 | ブラケット矯正 |
| 来院期間 | 2年6ヶ月 |
| 治療費用総額 | ¥650,000(税込¥715,000) 毎月調整料¥4,000(税込¥4,400) |
| リスクと副作用 | 歯肉退縮・歯根吸収・歯髄・壊死・癒着による予期せぬ歯の動き |
症例 空隙歯列

before

after
| 来院時の主訴 | 前歯の隙間が気になる |
| 医院の治療選択 | ブラケット矯正 |
| 来院期間 | 1年 |
| 治療費用総額 | ¥350,000(税込¥385,000) |
| リスクと副作用 | 歯肉退縮・歯根吸収・歯髄・壊死・癒着による予期せぬ歯の動き |
症例 叢生

before

after
| 来院時の主訴 | 上下のジグザクを治したい |
| 医院の治療選択 | ブラケット矯正 |
| 来院期間 | 2年5ヶ月 |
| 治療費用総額 | ¥650,000(税込¥715,000) 毎月調整料¥4,000(税込¥4,400) |
| リスクと副作用 | 歯肉退縮・歯根吸収・歯髄・壊死・癒着による予期せぬ歯の動き |
部分矯正
部分矯正は、歯の一部分だけを対象にした治療法で、気になる箇所だけを効果的に改善します。治療期間は2ヶ月~1年程度と通常の矯正治療と比べて短く、費用も抑えることができます。しかし、歯列全体を動かすわけではないため、噛み合わせの問題は解消できません。
